水素水が脂肪肝の脂肪蓄積を減少させる可能性

結論
非アルコール性脂肪肝(NAFLD)の患者が、水素水を28日間摂取したところ、MRIで測定した肝臓の脂肪蓄積が有意に減少した。肝機能の指標であるAST値にも改善傾向が見られ、副作用は報告されなかった。
研究の背景と目的
非アルコール性脂肪肝(NAFLD)は、飲酒以外の原因で肝臓に脂肪がたまる疾患で、先進国では人口の約30%が該当するとされる。動物実験では水素水が肝臓の酸化ストレスを軽減し、脂肪肝を改善することが報告されていたが、NAFLD患者を対象としたヒト試験はこれまで行われていなかった。
本研究は、28日間の水素水摂取がNAFLD患者の肝脂肪量や肝機能にどのような影響を及ぼすかを検証した初めてのパイロット試験である。
研究方法
軽度〜中等度のNAFLDと診断された過体重の患者12名を対象に、二重盲検・プラセボ対照・クロスオーバー試験を実施。各参加者が水素水とプラセボの両方を28日間ずつ摂取し、間に14日間のウォッシュアウト期間を設けた。
| 項目 | 内容 |
|---|---|
| 対象 | NAFLD患者12名(女性7名・男性5名、平均56.2歳、平均BMI 37.7) |
| 試験デザイン | 二重盲検・プラセボ対照・クロスオーバー |
| 水素水群 | 1日1L(水素濃度約3 mM ≒ 約6 ppm。市販の水素水は0.5〜1.6 ppm程度が一般的)を朝夕2回に分けて食前に摂取 |
| プラセボ群 | 外見・味・マグネシウム量を同等にした非水素水 |
| 介入期間 | 各28日間(ウォッシュアウト14日間) |
| 主要評価項目 | MRIによる肝脂肪含量の変化 |
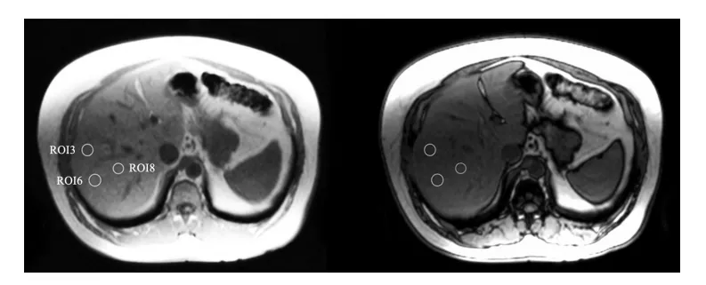
主な評価項目は、MRI(磁気共鳴画像法)で測定した肝臓内の脂肪含量である。副次的な評価項目として、血液中の肝酵素、脂質プロファイル、ホルモン値、体組成を測定した。
研究の主な結果
本研究の結果から、以下の3点を取り上げる。
- ① 肝臓の脂肪蓄積が減少した
- ② 肝機能の指標に改善傾向が見られた
- ③ 安全性に問題はなかった
① 肝臓の脂肪蓄積が減少した
MRIを用いて肝臓内の脂肪含量を測定し、水素水群とプラセボ群の変化を比較した。
| 指標 | 摂取前 | 28日後 | 減少幅 |
|---|---|---|---|
| 総肝脂肪含量 | 284.0 ± 118.1 mM | 256.5 ± 108.3 mM | 2.9%減少 (95%CI: 0.5〜5.5%) |

水素水群では肝臓全体で脂肪が有意に減少し、プラセボ群では同様の変化は見られなかった。減少の度合いは部位によって異なり、肝臓全体では約3%、表面付近(被膜付近)では約25%の減少が観察された(p < 0.05)。
② 肝機能の指標に改善傾向が見られた
肝臓の状態を反映する血液検査(肝酵素)の値を比較した。
| 指標 | 変化 | 統計的有意差 |
|---|---|---|
| AST (肝細胞のダメージ指標) | −10.0% (95%CI: −23.2〜3.4) | 改善傾向 (有意差なし) |
| ALT・γ-GT・ALP | 変化なし | 有意差なし |
AST値は水素水の摂取後に10%低下し、肝細胞へのダメージが軽減した可能性がうかがえる。ただし、信頼区間がゼロをまたいでおり、統計的な有意差には至らなかった(水素水による改善とは言い切れない)。
すべての肝酵素は試験期間を通じて正常範囲内で推移しており、肝機能が悪化する兆候はなかった。なお、脂質プロファイルや体組成には有意な変化は見られなかった。
③ 安全性に問題はなかった
全12名が試験を完了し、水素水・プラセボのいずれの期間でも副作用の報告はなかった。コンプライアンス(服薬遵守率)は水素水群で90.0%、プラセボ群で93.3%と高く、水素水の忍容性は良好であった。
考察と今後の課題
動物実験では、水素が肝臓の酸化ストレスを軽減し、FGF21(線維芽細胞増殖因子21)を介して脂質代謝を改善するメカニズムが報告されており、本研究の結果はこれらの知見と矛盾しない。
ただし、本試験は12名という小規模かつ28日間という短期間の設計であり、軽度〜中等度のNAFLD患者のみを対象としている。脂質プロファイルや体組成に変化が見られなかったのは、水素の投与量や介入期間が不十分であった可能性もある。今後は、より大規模かつ長期間の臨床試験によって、NAFLDに対する水素水の有効性と安全性を確立する必要がある。
すいかつねっと編集部の感想
本研究は、非アルコール性脂肪肝(NAFLD)の患者を対象に水素水の効果を検証した、初めてのヒト臨床試験です。わずか28日間の摂取でMRI上の肝脂肪が有意に減少したという結果は、パイロット試験としては注目に値します。
一方で、参加者12名という小規模な試験であり、AST値の改善も統計的に有意とは言えない段階です。「水素水が脂肪肝に効く」と結論づけるにはまだ早く、あくまで「さらなる研究に値する有望な手がかりが得られた」という位置づけで捉えるのが適切でしょう。
なお、本研究以降も関連するエビデンスは蓄積されています。2022年には、水素吸入によって中等度〜重度のNAFLD患者の肝脂肪蓄積が改善したとする別のヒト研究も報告されています。また、動物実験レベルでは、水素水が脂肪肝の炎症や線維化を抑制するメカニズムや、肝臓のFGF21を介して脂質代謝を改善する経路も明らかにされており、基礎から臨床へと研究が進みつつある段階です。
用語解説
| 用語 | 解説 |
|---|---|
| 非アルコール性脂肪肝(NAFLD) | 飲酒以外の原因(肥満や糖尿病など)で肝臓に脂肪がたまる疾患。進行すると炎症や線維化を伴うNASH(非アルコール性脂肪性肝炎)に移行することがある |
| クロスオーバー試験 | 同じ参加者が実薬とプラセボの両方を期間を分けて摂取する試験デザイン。個人差の影響を小さくできる利点がある |
| AST(アスパラギン酸アミノトランスフェラーゼ) | 肝細胞が傷つくと血中に増える酵素で、肝機能の指標のひとつ。値が高いほど肝臓のダメージが大きいことを示す |
| MRI(磁気共鳴画像法) | 強い磁場を使って体内の断面画像を撮影する検査法。肝臓内の脂肪量を非侵襲的に測定できる |
| 95%信頼区間(CI) | 研究で得られた数値の「誤差の幅」を示す指標。この範囲にゼロが含まれると、統計的に有意な差とは言えない |
| FGF21(線維芽細胞増殖因子21) | 肝臓から分泌されるホルモンの一種で、脂質や糖の代謝を促進する働きがある |
論文情報
論文タイトル
Hydrogen-rich water reduces liver fat accumulation and improves liver enzyme profiles in patients with non-alcoholic fatty liver disease: a randomized controlled pilot trial(水素水は非アルコール性脂肪肝患者の肝臓脂肪蓄積を減少させ肝酵素プロファイルを改善する:ランダム化比較パイロット試験)
引用元

日本初の水素吸入総合情報サイト「すいかつねっと」運営。特定メーカーに属さない中立的な立場で、医師監修・ファクトチェック体制のもと、エビデンスに基づく情報を発信しています。
すいかつねっとについて